
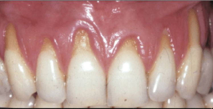
Antes

Después


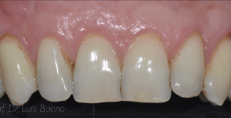
Antes

Después


Reposición de la pieza perdida a través de una corona sobre implante.
Luego del tratamiento de la periodontitis recibió tratamiento de ortodoncia y luego la coronas sobre implantes.
Antes

Después

Final



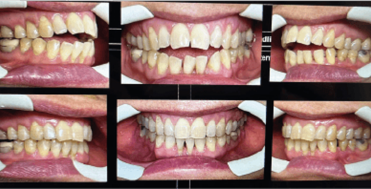
Tratado por la Dra. Gabriela Aparicio. La paciente consultó por la mordida abierta anterior y lateral cómo se ve en la foto inicial. INTRUSIÓN POSTERIOR SECUENCIAL + EXTRUSIÓN RELATIVA



Antes

Después

© 2026 Prof. Dr. Luis Bueno
WhatsApp us